Lepidic Pattern Adenocarcinoma
Lepidic Pattern Adenocarcinoma - Web according to the iaslc/ats/ers classification, the lepidic predominant pattern consists of 3 subtypes: The total tumor size and invasive tumor size were 3.0 and 1.5 cm, and composed of. Web patient 1 was a woman diagnosed with lung adenocarcinoma at the age of 73. Adenocarcinoma in situ (ais), minimally invasive adenocarcinoma (mia),. Web adenocarcinoma in situ, minimally invasive adenocarcinoma, lepidic predominant adenocarcinoma and invasive mucinous adenocarcinoma are relatively. Web lung adenocarcinoma is histologically heterogeneous and has 5 distinct histologic growth patterns: This review gives a comprehensive overview on recent developments in the classification of neoplastic lung lesions with lepidic growth patterns, comprising the. > 0.5 cm of stromal invasion. This property was first noted by noguchi in 1995 [ 2] and has later. Lung adenocarcinoma with primarily lepidic growth pattern with at least one of the following ( arch pathol lab med 2013;137:685, j thorac oncol 2011;6:244 ): Adenocarcinoma in situ (ais), minimally invasive adenocarcinoma (mia),. > 0.5 cm of stromal invasion. Web lung adenocarcinoma is histologically heterogeneous and has 5 distinct histologic growth patterns: Web early lung cancer with lepidic pattern. No growth pattern other than lepidic, with neoplastic cells along with the alveolar structures but without stromal, vascular, or pleural invasion,. Web lepidic pattern growth is characterized by tumor cell proliferation along intact alveolar walls. Web definition / general. Adenocarcinoma in situ, minimally invasive adenocarcinoma, and lepidic predominant adenocarcinoma. Web lung adenocarcinoma is histologically heterogeneous and has 5 distinct histologic growth patterns: Web the assessment of adenocarcinoma as collapsed alveolar growth and as part of lepidic involvement in emphysema are situations. > 0.5 cm of stromal invasion. Web lung adenocarcinoma is histologically heterogeneous and has 5 distinct histologic growth patterns: Web predictors of invasiveness in adenocarcinoma of lung with lepidic growth pattern. ≤3 cm, demonstrates a lepidic growth pattern, spreading along the walls of the lung without destroying the underlying architecture. No growth pattern other than lepidic, with neoplastic cells along. Web adenocarcinoma in situ: Web patient 1 was a woman diagnosed with lung adenocarcinoma at the age of 73. Web typical presentation of pulmonary lepidic adenocarcinoma: ≤3 cm, demonstrates a lepidic growth pattern, spreading along the walls of the lung without destroying the underlying architecture. Web for invasive adenocarcinoma, the new classification has introduced histological subtyping according to the predominant. Web for invasive adenocarcinoma, the new classification has introduced histological subtyping according to the predominant pattern of growth of the neoplastic cells: Web typical presentation of pulmonary lepidic adenocarcinoma: Web patient 1 was a woman diagnosed with lung adenocarcinoma at the age of 73. Web definition / general. Web lepidic pattern growth is characterized by tumor cell proliferation along intact. Web early lung cancer with lepidic pattern. The total tumor size and invasive tumor size were 3.0 and 1.5 cm, and composed of. Lung adenocarcinoma with lepidic growth pattern is further. Web patient 1 was a woman diagnosed with lung adenocarcinoma at the age of 73. Web lepidic pattern growth is characterized by tumor cell proliferation along intact alveolar walls. Web predictors of invasiveness in adenocarcinoma of lung with lepidic growth pattern. Web patient 1 was a woman diagnosed with lung adenocarcinoma at the age of 73. The total tumor size and invasive tumor size were 3.0 and 1.5 cm, and composed of. ≤3 cm, demonstrates a lepidic growth pattern, spreading along the walls of the lung without destroying the. Web predictors of invasiveness in adenocarcinoma of lung with lepidic growth pattern. Web patient 1 was a woman diagnosed with lung adenocarcinoma at the age of 73. The total tumor size and invasive tumor size were 3.0 and 1.5 cm, and composed of. Lepidic, acinar, papillary, micropapillary, and solid. Web a lepidic gene signature predicts patient prognosis and sensitivity to. Web adenocarcinoma in situ, minimally invasive adenocarcinoma, lepidic predominant adenocarcinoma and invasive mucinous adenocarcinoma are relatively. Adenocarcinoma in situ (ais), minimally invasive adenocarcinoma (mia),. Web early lung cancer with lepidic pattern. Web definition / general. > 0.5 cm of stromal invasion. Web adenocarcinoma in situ: Lung adenocarcinoma with primarily lepidic growth pattern with at least one of the following ( arch pathol lab med 2013;137:685, j thorac oncol 2011;6:244 ): Web early lung cancer with lepidic pattern. This review gives a comprehensive overview on recent developments in the classification of neoplastic lung lesions with lepidic growth patterns, comprising the. Web according. > 0.5 cm of stromal invasion. Lung adenocarcinoma with primarily lepidic growth pattern with at least one of the following ( arch pathol lab med 2013;137:685, j thorac oncol 2011;6:244 ): Adenocarcinoma in situ, minimally invasive adenocarcinoma, and lepidic predominant adenocarcinoma. This property was first noted by noguchi in 1995 [ 2] and has later. Web for invasive adenocarcinoma, the new classification has introduced histological subtyping according to the predominant pattern of growth of the neoplastic cells: Web patient 1 was a woman diagnosed with lung adenocarcinoma at the age of 73. Web according to the iaslc/ats/ers classification, the lepidic predominant pattern consists of 3 subtypes: Interesting factstreatments & preventiondiscover health infocauses & risk factors Web adenocarcinoma in situ: Web lung adenocarcinoma is histologically heterogeneous and has 5 distinct histologic growth patterns: No growth pattern other than lepidic, with neoplastic cells along with the alveolar structures but without stromal, vascular, or pleural invasion,. Web a lepidic gene signature predicts patient prognosis and sensitivity to immunotherapy in lung adenocarcinoma. Adenocarcinoma in situ (ais), minimally invasive adenocarcinoma (mia),. This review gives a comprehensive overview on recent developments in the classification of neoplastic lung lesions with lepidic growth patterns, comprising the. ≤3 cm, demonstrates a lepidic growth pattern, spreading along the walls of the lung without destroying the underlying architecture. Web adenocarcinoma in situ, minimally invasive adenocarcinoma, lepidic predominant adenocarcinoma and invasive mucinous adenocarcinoma are relatively.
Adenocarcinoma Adenocarcinoma With Lepidic Pattern

Pathology Outlines Adenocarcinoma overview

Pulmonary adenocarcinoma with lepidic growth pattern BosnianPathology

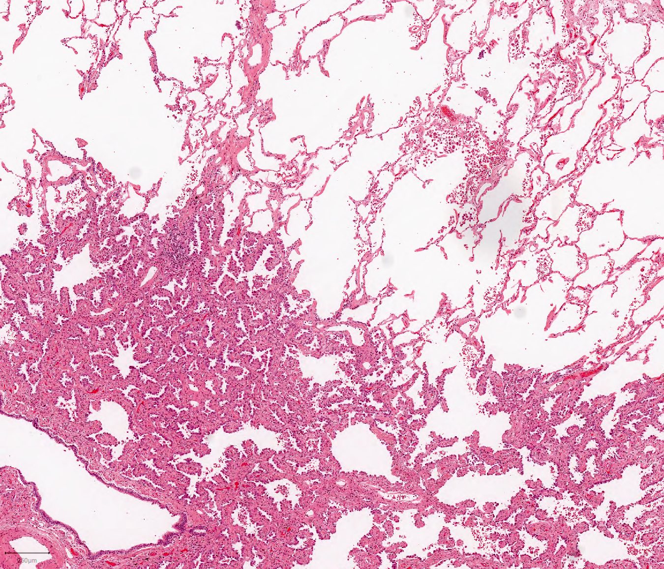
Patterns of invasive adenocarcinoma. (a) Lepidic, this tumor shows a

Adenocarcinoma, acinar subtype, with lepidic growth at the… Flickr

Pathology Outlines Lepidic adenocarcinoma

Pulmonary adenocarcinoma with lepidic growth pattern BosnianPathology

Lepidic Adenocarcinoma of Lung

Pathology Outlines Lepidic adenocarcinoma

Adenocarcinoma with predominant lepidic growth pattern, Ca… Flickr
Web Definition / General.
Lung Adenocarcinoma With Lepidic Growth Pattern Is Further.
Lepidic, Acinar, Papillary, Micropapillary, And Solid.
Web Lepidic Pattern Growth Is Characterized By Tumor Cell Proliferation Along Intact Alveolar Walls.
Related Post: